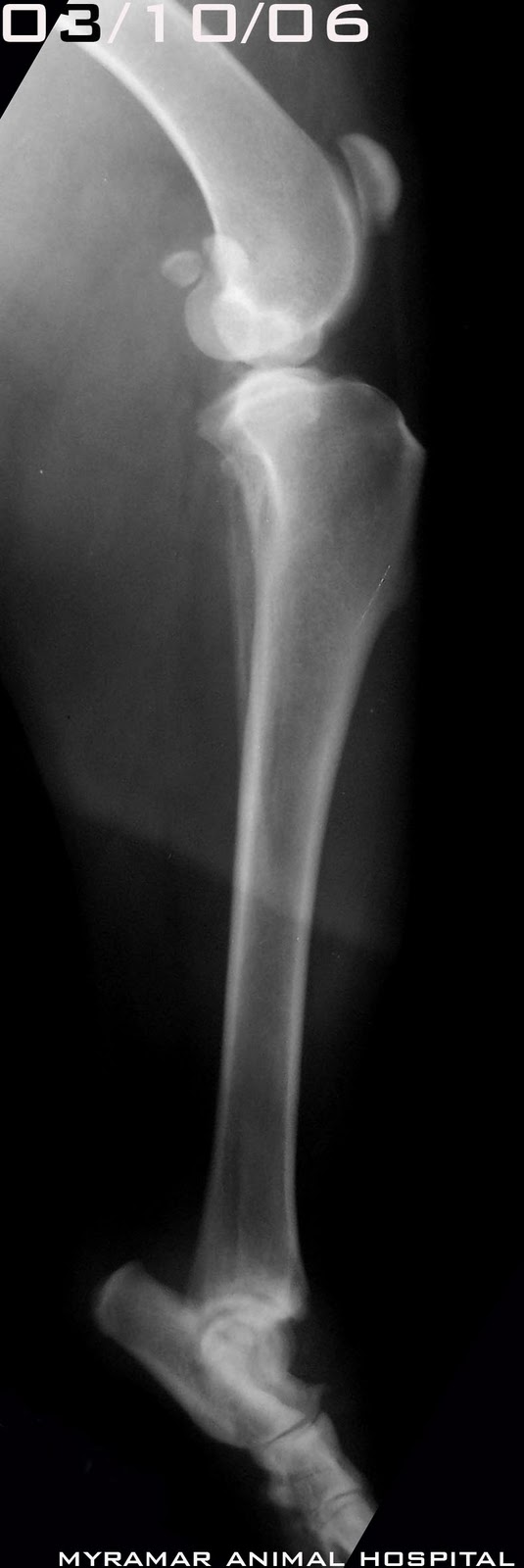
Se presenta Coco, perro cruzado de 5 meses tras atropello al Myramar Animal Hospital, presentando:
Fractura diafisaria tranversa simple tibial izquierda. Clas. AOVET:41-A3
Fractura de los cuatro metatarsianos derechos
La tibia se reduce y estabiliza utilizando placa DCP 2.7mm + 8 tornillos 2.7mm.
Los metatarsianos se estabilizan utilizando pines intramedulares del 1.8mm
Se presenta evolución radiográfica del caso
Fractura diafisaria tranversa simple tibial izquierda. Clas. AOVET:41-A3
Fractura de los cuatro metatarsianos derechos
La tibia se reduce y estabiliza utilizando placa DCP 2.7mm + 8 tornillos 2.7mm.
Los metatarsianos se estabilizan utilizando pines intramedulares del 1.8mm
Se presenta evolución radiográfica del caso
www.myramaranimalhospital.com
Jesús Sánchez Nicolás (jefe del servicio de traumatología y ortopedia)
Jesús Sánchez Nicolás (jefe del servicio de traumatología y ortopedia)
Myramar animal Hospital
Fuengirola. Málaga. España
















