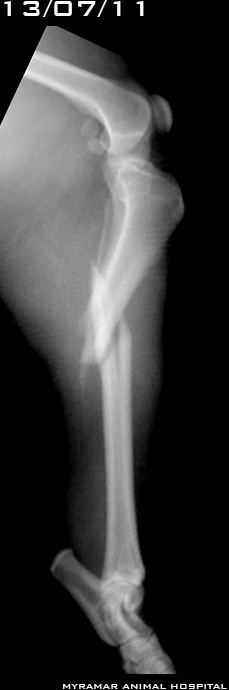
Mora, perrita cruzada de 8 años y 23 kg de peso, es remitida por cojera de extremidad posterior derecha de varios meses de evolución. Al estudio radiográfico se observa degeneración osteoartrósica de la articulación de la rodilla y signos evidentes de lesión crónica de ligamento cruzado anterior. Mora fue operada hace 3 años de su rodilla izquierda por rotura de dicho ligamento.
Se realiza TPLO con placa synthes para tornillos bloqueados LHS.
Se presentan radiografías pre y posquirúrgicas del caso.
Jesús Sánchez Nicolás
Miembro comité ciéntífico GEVO
AOVET member
MYRAMAR ANIMAL HOSPITAL
Fuengirola. Málaga. Spain
www.myramaranimalhospital.com
Se realiza TPLO con placa synthes para tornillos bloqueados LHS.
Se presentan radiografías pre y posquirúrgicas del caso.
Jesús Sánchez Nicolás
Miembro comité ciéntífico GEVO
AOVET member
MYRAMAR ANIMAL HOSPITAL
Fuengirola. Málaga. Spain
www.myramaranimalhospital.com

















































