jueves, 18 de julio de 2013

Chica. Rotura de ligamento cruzado craneal. TPLO

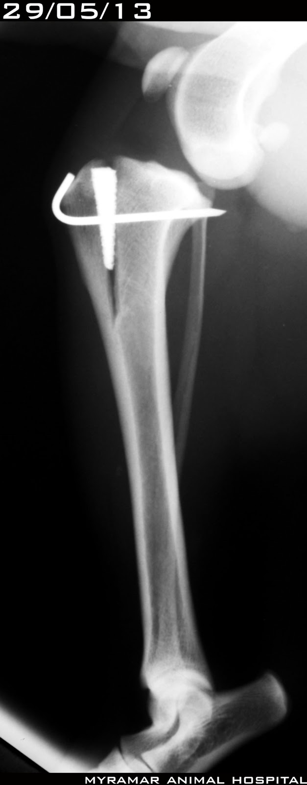
Se presenta Chica, cruce de 5 años y 27 kg, con cojera de miembro posterior derecho que después de exploración clínico-radiográfico es compatible con rotura parcial de ligamento cruzado craneal.
Se realiza TPLO que se estabiliza con placa TPLO synthes para tornillos LHS y cortical autorroscantes del 3.5mm. El corte se realiza con sierra 21mm.
Se presentan radiografías pre y postquirúrgicas del caso así como un vídeo del primer día postcirugía de Chica.


Jesús Sánchez Nicolás
Miembro comité científico GEVO
Acreditado AVEPA cirugía
AOVET active member
MYRAMAR ANIMAL HOSPITAL
Fuengirola. Málaga. Spain
www.myramaranimalhospital.com

viernes, 5 de julio de 2013

Poncho. TPLO

Poncho, mastín de 65 kg y 3 años de edad, llega al hospital veterinario guadiamar de Sevilla con cojera grado II-III del miembro pelviano izquierdo. Tras exploración clínica y RM se diagnostica rotura total de ligamento cruzado anterior y rotura cuerno caudal del menisco medial.
Se realiza TPLO con placa TPLO synthes ancha 3.5mm + 6 tornillos LHS 3.5mm bloqueados y 2 tornillos 3.5mm autorroscantes.

Se presentan radiografías pre y postquirúrgicas del caso y un corto vídeo de Poncho un día después de la cirugía, así como imágenes de resonancia magnética donde se pueden apreciar el edema óseo en la inserción del cruzado (fosa y meseta tibial), la lesión meniscal y la comparativa con el cuerno contralateral (hipointenso) y la intensa sinovitis y efusión sinovial en la articulación afectada.



 

 

Juan José Mínguez
Residente ECVN
Acreditado AVEPA neurología
Postgrado ESAVS neurology-neurosurgery
Jesús Sánchez Nicolás
Miembro comité científico GEVO
Acreditado AVEPA cirugía
AOVET active member
MYRAMAR ANIMAL HOSPITAL
Fuengirola. Málaga. Spàin
HOSPITAL VETERINARIO GUADIAMAR
Sanlúcar La Mayor. Sevilla. Spain
www.myramaranimalhospital.com
www.guadiamarsvr.com

martes, 2 de julio de 2013

MILU. MMP orthomed

Milú, cruce de 9 años y 12 kg de peso, llega a consulta con rotura de ligamento cruzado anterior izquierdo.
Se realiza MMP (técnica modificada de maquet) realizando avance de 5mm con cuña de titanio poroso (orthomed) y K-wire de 1.6mm.
Se realiza corte largo de cortical craneal de tibia y se deja sin banda de tensión.
Se presentan radiografías pre y postquirúrgicas del caso así como evolución en el tiempo.







Jesús Sánchez Nicolás
Miembro comité científico GEVO
Acred. AVEPA cirugía
AOVET active member
MYRAMAR ANIMAL HOSPITAL
Fuengirola. Málaga. Spain
www.myramaranimalhospital.com

Duna. TPLO

Duna, Beagle de 6 años y 15 kg de peso es referida a consulta por rotura de LCCr.
Se realiza TPLO con placa synthes TPLO 2.7mm y 3 tornillos LHS 2.7mmen proximal y 3 tornillos 2.7mm de cortical autorroscantes en distal. El corte se realiza con sierra 21º.
Se presentan radiografías quirúrgicas del caso.




Jesús Sánchez Nicolás
Miembro CC GEVO
Acred. AVEPA cirugía
AOVET active member
MYRAMAR ANIMAL HOSPITAL
Fuengirola. Málaga. Spain
www.myramaranimalhospital.com