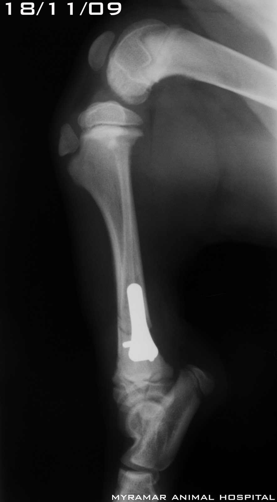
Lola, cruce de 4 meses y 7 kg llega al Myramar Animal Hospital de Fuengirola con fractura distal tibial con peroné intacto. Class AOVET 42-A1.
Se estabiliza la fractura utilizando placa TPLO 2.0mm vet. instrumentation en compresión con 3 tornillos 2.0mm en distal y 3 en proximal sin tocar fisis distal tibial.
Se presenta evolución radiográfica del caso
Se estabiliza la fractura utilizando placa TPLO 2.0mm vet. instrumentation en compresión con 3 tornillos 2.0mm en distal y 3 en proximal sin tocar fisis distal tibial.
Se presenta evolución radiográfica del caso
Jesús Sánchez Nicolás
Miembro CC GEVO
AOVET active member
Myramar Animal Hospital.
Fuengirola. Málaga. Spain.
Fuengirola. Málaga. Spain.









No hay comentarios:
Publicar un comentario